ПО-ЗДРАВИ ДНЕС - Онлайн списанието за здравословен живот


Търсене

Начало Търсене - непроизволно кашляне A+ A-

Резултати от търсенето

Безплатни консултации за инконтиненция в „Майчин дом“

От 27 април до 17 май 2026 г. екипът на ... особено след раждане - изпускането се появява при физическо усилие, , кихане или смях. Императивната инконтиненция се характеризира с внезапен ... и независимостта в ежедневието, обяснява още акушер-гинекологът проф. Иван Костов.

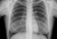
Пневмонията – инфекцията, която нарушава нормалния процес на дишане

12 ноември е обявен за Международен ден за борба с ... инфекцията? Основният път за възникване на инфекцията е въздушно-капковия. При и кихане частици от бронхиалния секрет, съдържащи микроорганизми, попадат във ... задължително да се носи шал на устата в студеното време.

Изобретиха маски, които убиват вируса

Маски за лице, които убиват новия коронавирус за минути, изобретиха ... - чрез капчици и аерозолни частици, които се отделят при , кихане и говорене. Това налага носенето на предпазна маска ... немската фирма все още не е провела изследвания с коронавируса.

Посочиха нов начин на предаване на CoViD-19

Изследователи от Медицинското училище на университета Джон Хопкинс са определили ... от традиционна намазка от назофаринкса. Ако капки от кихане или на заразен човек попаднат на повърхността на нечии очи, вирусът ... сведете до минимум риска от получаване на CoViD-19, препоръчват изследователите.

И канализацията може да разпространява COVID-19

Вече е известно, че COVID-19 се разпространява или чрез капки, ... COVID-19 се разпространява или чрез капки, попадащи във въздуха при и кихане, или чрез предмети или материали, върху които са ... път, както и през канализацията, призовават учените от изследователския екип.

Заразяването с грип далеч по-лесно, отколкото знаем

Досега се смяташе, че грипният вирус се предава основно чрез , кихане или при контакт с битови предмети, които наскоро ... вирус в 142 случая. Отделените вируси били оценявани както при и кихане, така и по време на разговори или спокойно ... Това може да предотврати разпространението на инфекциите, категорични са учените.

Как да не заразим близките с грип?

Един болен член на семейството може да зарази всички останали ... – простудата се предава по въздушно-капков път – всяко кихане, в дома разпространява до десет хиляди инфектирани капчици. Тогава?Ще ви ... дома, за да ги прочистите от полепналите частички на вируса.

Нови методи на лечение удължават живота при рак на белия дроб

Ракът на белия дроб е най-разпространеното злокачествено заболяване при мъжете ... преди са извършвани лесно; пресипнал глас; отделяне на кръв при ; загуба на апетит или нежелана загуба на тегло, без ... го кара да се свие и да спре да расте.